
1. Abstract
1.1. Background
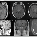
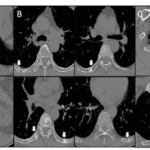
Osmotic demyelination syndrome (ODS) is a rare but significant complication associated with the rapid correction of hyponatremia. Pituitary necrosis, commonly observed in cases of apoplexy, may manifest in susceptible metabolic conditions but is infrequently documented in association with ODS.

1. Abstract
We present a case of a 57-year-old male who experienced ex- tensive bone pain, difficulty in getting up, weakness in walking, and height loss. He had been taking adefovir dipivoxil tablets for the treatment of hepatitis B.

1. Abstract
Heart failure (HF) is a major public health issue, particularly in Morocco, where data on precipitating factors remain limited. This study aimed to identify the main triggers of acute decom pensation and to analyze the epidemiological, clinical, and ther apeutic characteristics of patients admitted for acute HF at the.

1. Abstract
1.1. Background
Pediatric liver transplantation (pLT) is the standard treatment forend-stage liver disease in children. Perioperative cardiopulmonary complications, including severe infection and respiratory failure, sometimes require extracorporeal membrane oxygenation (ECMO).

1.1 Background
Mesh reinforcement can be used as an adjunct in giant paraoesophagal hernias repairs. The use of synthetic mesh is associated with significant morbidity whereas.

1.1. Purpose
This pilot is a partner trial to a previously published study of older men [1]. The primary goal was to assess the effects of consuming a proprietary tincture form of Pine Pollen.

1. Introduction
Rigid temporization has been recognized to have a significant impact on the peri-implant tissue response in immediate implant
loading since it reduces the mechanical stress exerted on each.

1. Abstract
Schistosomiasis is a parasitic disease commonly found in en demic regions such as sub-Saharan Africa, the Middle East, and parts of Asia. However, cases in non-endemic countries like.
ACMCR Archive
Articles Published
All articles are fully peer reviewed free to access and easy to download from our Site.
Why ACMCR?
- Highly Indexed Journals
- Fast Peer-Review System
- Reprints Issued Across the World
- Timely Submission for Indexing
- Collaboration with Research Institutions
- Reprints issued accross the world
- Diverse Subject Coverage
- DOI Assignment for Every Article
- Strict Ethical Guidelines
Digital Object Identifier

Content Registration at Crossref and DOI assignment for all published articles
Recent Articles
Indexing Partner








